71airgrabberRR
Well-Known Member
Hello everyone. I'm getting a little better each day.
- - - Updated - - -
The doctor had me remove the shoulder sling as soon as the nerve block wore off. He has also been very aggressive with therapy. They sent a machine called a "passive range of motion" machine to my house, along with a compressive shoulder ice machine and battery operated tens unit.
The range of motion machine has a wrap that secures my right hand to a hand grip. The hand grip is connected to a small tether, and it in turn connects to a pulley that is electrically powered with a motor.
- - - Updated - - -
The motor / pulley are at the top of a small "A" frame that is about 6 feet tall. I have to use it to raise and lower my arm 6 - 8 hours a day.
- - - Updated - - -
After 30 minutes I get a break and use either the ice or tens unit to help with the pain.
- - - Updated - - -
Then back at it again. I have to or else my shoulder will start to heal in position, and I will end right back where I started.
In addition to my original injuries, the doctor said that I had a frozen shoulder because I was not able to move it due to my injuries. So the early movement and additional therapy that I go to 3 times a week keep me limbered up pretty good.
I have been able to hoist my arm all the way up using the motor / pulley machine. It hurts like hell, I'm not going to lie to you about that. But it beats the alternative. I made a deal with the doctor. I told him if he fixed my arm I would follow through with my part and do whatever therapy he deemed necessary.
- - - Updated - - -
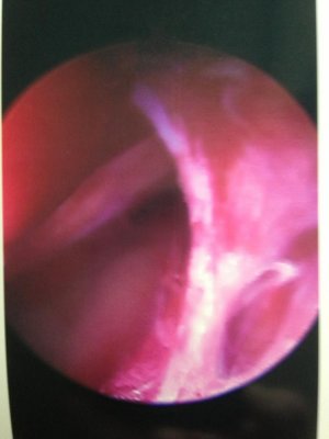
Here are a few pictures that the doc took while using the scope inside my shoulder.


- - - Updated - - -
He told me these were torn / frayed tendons and adhesions that were growing to lock my shoulder down in place. He was able to clean everything up and as soon as I finish healing I will be good to go.
- - - Updated - - -
I know it looks kind of gross, but I think it's totally amazing what they can do now with todays technology. Simply amazing.
- - - Updated - - -


- - - Updated - - -
Here are the after photos. Everything is cleaned up pretty good now.
So with a little more time I can get the left side done, and then GET BACK TO WORK !!!!!
That is my goal.
Take care everyone, and keep in touch.
- - - Updated - - -
The doctor had me remove the shoulder sling as soon as the nerve block wore off. He has also been very aggressive with therapy. They sent a machine called a "passive range of motion" machine to my house, along with a compressive shoulder ice machine and battery operated tens unit.
The range of motion machine has a wrap that secures my right hand to a hand grip. The hand grip is connected to a small tether, and it in turn connects to a pulley that is electrically powered with a motor.
- - - Updated - - -
The motor / pulley are at the top of a small "A" frame that is about 6 feet tall. I have to use it to raise and lower my arm 6 - 8 hours a day.
- - - Updated - - -
After 30 minutes I get a break and use either the ice or tens unit to help with the pain.
- - - Updated - - -
Then back at it again. I have to or else my shoulder will start to heal in position, and I will end right back where I started.
In addition to my original injuries, the doctor said that I had a frozen shoulder because I was not able to move it due to my injuries. So the early movement and additional therapy that I go to 3 times a week keep me limbered up pretty good.
I have been able to hoist my arm all the way up using the motor / pulley machine. It hurts like hell, I'm not going to lie to you about that. But it beats the alternative. I made a deal with the doctor. I told him if he fixed my arm I would follow through with my part and do whatever therapy he deemed necessary.
- - - Updated - - -
Here are a few pictures that the doc took while using the scope inside my shoulder.


- - - Updated - - -
He told me these were torn / frayed tendons and adhesions that were growing to lock my shoulder down in place. He was able to clean everything up and as soon as I finish healing I will be good to go.
- - - Updated - - -
I know it looks kind of gross, but I think it's totally amazing what they can do now with todays technology. Simply amazing.
- - - Updated - - -


- - - Updated - - -
Here are the after photos. Everything is cleaned up pretty good now.
So with a little more time I can get the left side done, and then GET BACK TO WORK !!!!!
That is my goal.
Take care everyone, and keep in touch.




































